72岁的倪大伯在农民健康体检中发现肝脏占位,来我院就诊,我院新成立的肿瘤综合介入团队经增强MR及肝穿刺活检,并排查各个脏器无远处转移,明确诊断为“原发性肝癌1B期”,入住我院普外病区准备行“肝恶性肿瘤根治术”。
但倪大伯在做术前检查时候却遇到了点麻烦,24小时动态心电图提示:慢心室率房颤,最长R-R间期3.2秒。

临时起搏保驾护航
这样的心脏条件在日常无应激情况下,是没有永久心脏起搏指针的,但是在麻醉应激和手术创伤应激状态下,随时都有可能在手术台过程中发生心血管意外,如心动过缓导致的血流动力学不稳定、心脏停搏等。
经过我院心内科、麻醉科、及ICU的多学科会诊,决定给倪大伯安装一个心脏临时起搏器,来应对手术中的心脏风险。

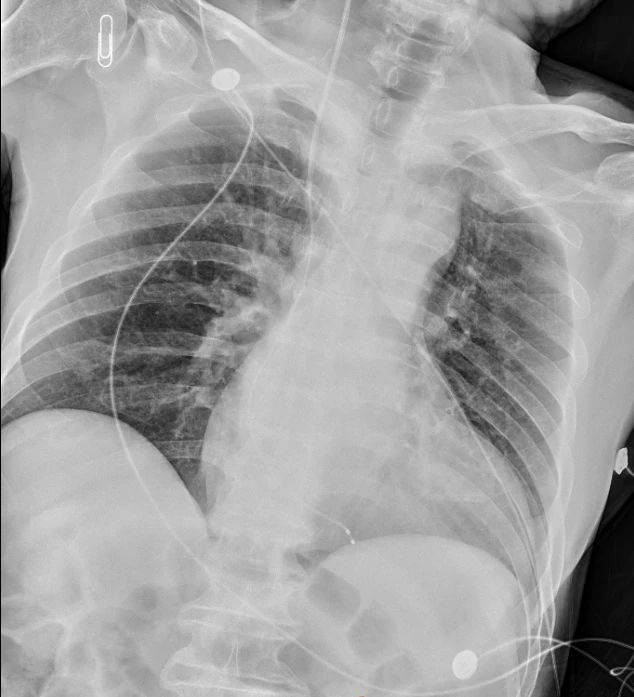
手术当日,倪大伯在6月29号一早转入了我院ICU,ICU医生团队在陈君主任医师的带领下,很快完成了漂浮电极导管床旁心脏临时起搏器的植入,术中根据监护心电波形,及植入后胸部平片,确认电极在右心室尖部嵌入良好。


随后倪大爷就带着心脏临时起搏器进入手术室,普外科团队顺利完成了“肝恶性肿瘤根治术”,术后在ICU监护治疗一晚,次日安返普外科病房,术后恢复佳,已出院。
近十年来,我院ICU完成了数十例漂浮电极导管床旁心脏临时起搏器的植入,主要用于高度房室传导阻滞、急性心梗后心动过缓、病窦综合征的紧急抢救,以及围手术期的护航等,帮助患者度过危险期。
一起学习下心脏临时起搏器的适应症吧!

1.紧急的临时起搏作用:主要是用于心脏骤停,心肺复苏后,各种原因引起的心源性晕厥如高度房室传导阻滞、病态窦房结合并阿-斯综合征等患者,可以给予临时的心脏起搏器植入,可以保证心脏的搏动。
2.预防性的起搏作用:对于外科手术或者是在要进行临时的心脏手术,在患者心率比较慢时,可以做临时起搏器的植入保证手术的安全。
3.过渡性的起搏作用:如患者需要进行永久心脏起搏器的植入术、或者是心脏搭桥或者是重大的心脏手术的情况下,需要通过临时起搏器做过渡状态,可以起到保护性的作用。
供稿丨重症监护室
编辑丨胡顺超
审核 | 惠 Y
核发 | 陈铁忠
来源:杭州市临安区中医院